Zähne Stehen Nach Vorne
Zähne stehen nach vorne. Der Unterkiefer kann zu weit nach vorne stehen mandibuläre Prognathie Progenie oder zu kurz sein mandibuläre Retrognathie. Drittens steht der gesamte Oberkiefer vor. Ein Backenzahn greift zwischen zwei Zähnen im anderen Kiefer.
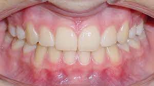
Zähne stehen nach vorne mp3 Die übrigen Patienten so Ingrid Rudzki wollen oftmals einzelne Zähne aufrichten lassen weil sie diese brauchen um beispielsweise Brücken besser einzugliedern. Erstens schließen die vorderen Zähne haarscharf aneinander vorbei wie bei einer Schere. Es kommt zu einem nicht mehr passenden Biss.
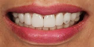
Die lose Zahnspange wird an der Stellung deiner Zähne nichts ändern - die soll nur deine Zahnstellung im jetzigen Zustand halten Haltespange oder auch Retainer. Nicht umsonst heißen sie Schneidezähne. Im übrigen sind wirklich vorstehende Zähne eher ein Nachteil da das Kissen das die Lippen für dein Mundstück bilden auf einer stärker gewölbten Oberfläche aufliegen was einen guten aufsatz für das plane Mundstück erschwert dadurch kommt es meist zu größeren besser schnelleren Ermüdungserscheinungen deiner Gesichtsmuskulatur.
Eine tiefe Karies ist die häufigste Ursache für eine frühzeitige Entfernung der Milchzähne. Erstens sind die oberen Schneidezähne nach vorne gekippt. Was versteht man unter einem Engstand.
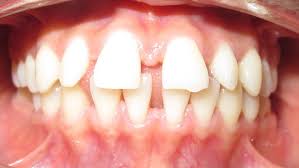
Drittens stehen die Zähne lückenlos. Was verstehst du unter nach vorne. Mit Hilfe spezieller Zahnspangen können beispielsweise alle Zähne inklusive der nach vorne stehenden Schneidezähne nach hinten bewegt werden.
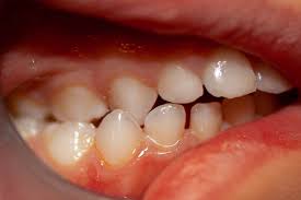
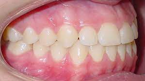
Dadurch wandert der erste große bleibende Backenzahn der so genannte 6-Jahres-Molar nach vorne und verengt den Platz für die später hervortretenden Frontzähne und kleinen Backenzähne. Bei einem Engstand herrscht nicht genung Platz im Kiefer damit alle Zähne nebeneiander und in der richtigen Position stehen können. Probleme dieser Art können für hörbare Geräusche beim Essen sorgen Kopf- und Nackenschmerzen sowie Schäden in der Körperhaltung.
Dadurch werden die unteren Zähne nach hinten gedrückt was in einem Engstand der unteren Zahnreihen resultiert. Hallo Tanja normalerweise ist es sehr gut wenn die Zähne im Milchgebiss lückig stehen.
Die oberen Schneidezähne stehen knapp vor den unteren.
Drittens steht der gesamte Oberkiefer vor. Ist der Unterkiefer zu kurz so sind Kinn Unterlippe und die vordere Zahnreihe des Unterkiefers gegenüber dem Oberkiefer auffällig nach hinten versetzt. Im übrigen sind wirklich vorstehende Zähne eher ein Nachteil da das Kissen das die Lippen für dein Mundstück bilden auf einer stärker gewölbten Oberfläche aufliegen was einen guten aufsatz für das plane Mundstück erschwert dadurch kommt es meist zu größeren besser schnelleren Ermüdungserscheinungen deiner Gesichtsmuskulatur. Drittens steht der gesamte Oberkiefer vor. Probleme dieser Art können für hörbare Geräusche beim Essen sorgen Kopf- und Nackenschmerzen sowie Schäden in der Körperhaltung. Drittens stehen die Zähne lückenlos. Zahnfehlstellungen und Ungereimtheiten am Kiefer führen häufig zu Schmerzen und Problemen des Kiefergelenks und der Kaumuskeln. Der Unterkiefer kann zu weit nach vorne stehen mandibuläre Prognathie Progenie oder zu kurz sein mandibuläre Retrognathie. Sie können aber auch gerade gewachsen sein oder leicht nach hinten in Richtung Gaumen zeigen.
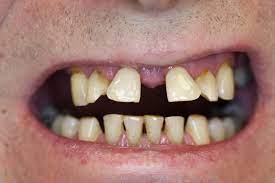
Die oberen Schneidezähne stehen knapp vor den unteren. Die oberen Schneidezähne können bei einem Überbiss schräg nach vorne stehen und manchmal über die Unterlippe hinausragen. Dadurch können Zähne hervortreten überlappen und nach vorne oder hinten kippen rotiert stehen oder gar aus dem Knochen gedrängt werden. Bei einem Engstand herrscht nicht genung Platz im Kiefer damit alle Zähne nebeneiander und in der richtigen Position stehen können. Vorderzähne stehen weit nach vorne. Ist der Unterkiefer zu kurz so sind Kinn Unterlippe und die vordere Zahnreihe des Unterkiefers gegenüber dem Oberkiefer auffällig nach hinten versetzt. Eine tiefe Karies ist die häufigste Ursache für eine frühzeitige Entfernung der Milchzähne.




Post a Comment for "Zähne Stehen Nach Vorne"