Budd Chiari Syndrome Radiology
Budd chiari syndrome radiology. Antiphospholipid syndrome has been reported in patients with transient ischemic attacks multi-infarct dementia and myocardial infarction 410. And coumarin skin necrosis adrenal gland hemorrhage and infarction. Carcinoma of the Colon.
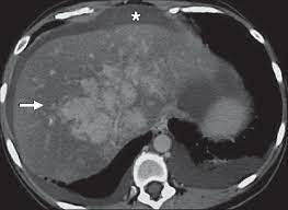
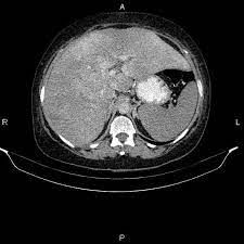
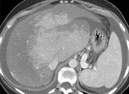
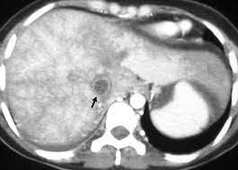
Located in metro Denver northern Colorado and western Nebraska serving all of the Front Range our team consists of board-certified and fellowship-trained interventional radiologists. Toxic injury to liver sinusoids causes sloughing of endothelial cells that embolize to hepatic venules and cause eventual fibrosis of the venules. Such as a TIPS are most often performed by a specially trained interventional radiologist in an interventional radiology suite or occasionally in the operating room.
The night prior to your procedure do not eat any food or drink any liquid. Carcinoma of the gallbladder. Childrens Health Queensland is a specialist state-wide hospital and health service committed to providing the best possible health care for every child.
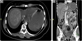
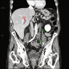
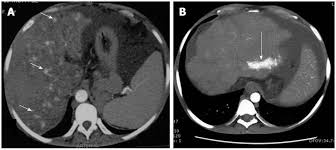
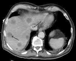
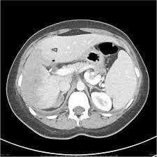
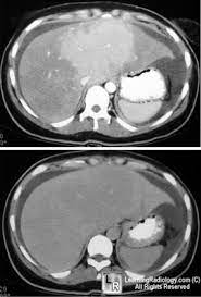
They are most often a consequence of portal hypertension commonly due to cirrhosis. La présence dune ou plusieurs affections prothrombotiques est fréquente La prise en charge repose sur un traitement anticoagulant précoce le traitement de l. People with esophageal varices have a strong tendency to develop severe bleeding which left untreated can be fatalEsophageal varices are typically diagnosed through an.
Embolism and thrombosis of. Chiasma kī-ăzmə also chiasm kīăzəm n. In keeping with American College of Radiology ACR Practice Guidelines and Technical Standards CT thorax should be provided by qualified radiology personnel radiology technicians diagnostic radiologists.
Coin in the Esophagus. Thrombosis of the cerebral splenic portal hepatic renal subclavian and retinal veins and of the inferior vena cava. Carcinoid Tumor of Small Bowel.
Some interventional radiologists prefer performing this. Le syndrome myéloprolifératif est la cause la plus fréquente de syndrome de Budd-Chiari 40-50.
Toxic injury to liver sinusoids causes sloughing of endothelial cells that embolize to hepatic venules and cause eventual fibrosis of the venules.
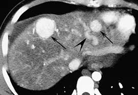
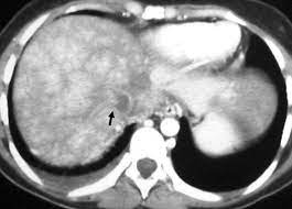
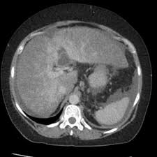
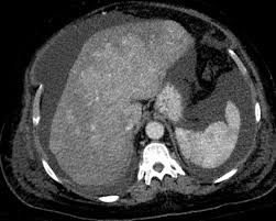
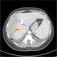
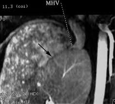
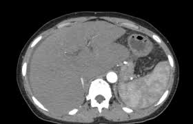
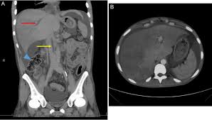
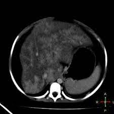
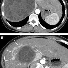
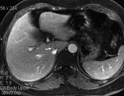
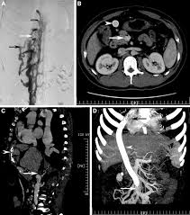
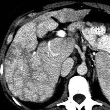
Chiasmata -mə-tə or chiasmas also chiasms 1. Esophageal varices are extremely dilated sub-mucosal veins in the lower third of the esophagus. Located in metro Denver northern Colorado and western Nebraska serving all of the Front Range our team consists of board-certified and fellowship-trained interventional radiologists. This results in hepatic congestion similar to Budd-Chiari syndrome and post-sinusoidal portal hypertension. The patients condition should be monitored throughout the procedure. They are most often a consequence of portal hypertension commonly due to cirrhosis. Toxic injury to liver sinusoids causes sloughing of endothelial cells that embolize to hepatic venules and cause eventual fibrosis of the venules. Coin in the Esophagus. There is no clear consensus regarding the number of occluded veins some authors claim that there should be at least one occluded hepatic vein 7 others state that there are no significant.
Carcinoma of the Colon. Budd-Chiari syndrome a blockage in one or more veins that carry blood from the liver back to the heart. And coumarin skin necrosis adrenal gland hemorrhage and infarction. Toxic injury to liver sinusoids causes sloughing of endothelial cells that embolize to hepatic venules and cause eventual fibrosis of the venules. Chiari malformation CM is a structural defect in the cerebellum characterized by a downward displacement of one or both cerebellar tonsils through the foramen magnum the opening at the base of the skull. Embolism and thrombosis of. La présence dune ou plusieurs affections prothrombotiques est fréquente La prise en charge repose sur un traitement anticoagulant précoce le traitement de l.




Post a Comment for "Budd Chiari Syndrome Radiology"